Hỗ trợ tư vấn
Tư vấn - Giải đáp - Hỗ trợ đặt tài liệu
Mua gói Pro để tải file trên Download.vn (không bao gồm tài liệu cao cấp) và trải nghiệm website không quảng cáo
Tìm hiểu thêm »Giải Khoa học tự nhiên 6 Bài 18: Thực hành quan sát tế bào sinh vật giúp các em học sinh lớp 6 nhanh chóng trả lời các câu hỏi SGK Khoa học tự nhiên 6 Chân trời sáng tạo trang 90, 91.
Với lời giải Khoa học tự nhiên 6 Bài 18 chi tiết từng phần, từng bài tập, các em dễ dàng ôn tập, củng cố kiến thức Chủ dề 6: Tế bào - Đơn vị cơ sở của sự sống. Đồng thời, cũng giúp thầy cô tham khảo soạn giáo án cho học sinh của mình. Chi tiết mời thầy cô và các em cùng tham khảo bài viết dưới đây của Download.vn:
I. Chuẩn bị
- Dụng cụ: Kính lúp cầm tay, kính hiển vi quang học, đĩa kính đồng hồ, lam kính, lamen, pipette, kim mũi mác, panh, bình thủy tinh.

- Hóa chất: Xanh methylen, nước cất.

- Mẫu vật: Trứng cá, củ hành tưới, ếch đồng sống.

II. Cách tiến hành
Quan sát tế bào trứng cá bằng mắt thường và kính lúp
- Bước 1: Dùng kim mũi mác tách trứng cá cho vào đĩa đồng hồ đã có sẵn vài giọt nước cất.
- Bước 2: Quan sát bằng mắt thường và kính lúp cầm tay.
- Bước 3: Vẽ tế bào quan sát được.

Quan sát tế bào biểu bì vảy hành bằng kính hiển vi quang học
- Bước 1: Nhỏ 1 giọt nước cất lên lam kính để sẵn trong đĩa kính đồng hồ
- Bước 2: Dùng kim mũi mác bóc nhẹ lớp biểu bì vảy hành
- Bước 3: Đặt vảy hành đã bóc lên lam kính đã có giọt nước cất, đậy lamen
- Bước 4: Quan sát dưới kính hiển vi với vật kính 10x, 40x và vẽ tế bào quan sát được

Quan sát hình dạng tế bào biểu bì da ếch
- Bước 1: Dùng panh vớt vài mẩu da ếch trong bình nhốt ếch cho vào đĩa đồng hồ
- Bước 2: Nhỏ một giọt xanh methylene vào đĩa kính đồng hồ đã có sẵn mẫu da ếch, để khoảng một đến hai phút
- Bước 3: Nhỏ 1 giọt nước cất
- Bước 4: Dùng panh vớt mẩu da ếch đã nhuộm trải đều trên lam kính, đậy lamen. Dùng giấy thấm thấm nước tràn ra ngoài tiêu bản
- Bước 5: Quan sát tiêu bản dưới kính hiển vi với vật kính 10x, 40x và vẽ tế bào quan sát được

III. Báo cáo
Báo cáo: Kết quả quan sát tế bào sinh vật
Thứ, ....... ngày...... tháng...... năm...................
Nhóm....................... Lớp...................................
1. Vẽ và chú thích tế bào trứng cá đã quan sát được. tại sao khi tách trứng cá chép cần nhẹ tay?
2. Vẽ và chú thích tế bào biểu bì vảy hành đã được quan sát. Tại sao khi tách tế bào biểu bì vảy hành, phải lấy một lớp thật mỏng?
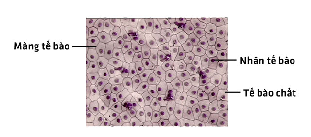
3. Vẽ và chú thích tế bào biểu bì da ếch đã được quan sát
Gợi ý trả lời:
1. Khi tách trứng cá chép cần nhẹ tay vì màng tế bào của trứng cá chép rất mỏng, nếu mạnh tay có thể làm vỡ các tế bào trứng.

2. Bởi vì để có thể dễ quan sát được tế bào biểu bì vảy hành thì phải lấy một lớp mỏng. Nếu lấy lớp dày thì các tế bào sẽ xếp chống lên nhau và khi soi lên kính không nhìn rõ các tế bào.

3. Vẽ và chú thích tế bào biểu bì da ếch đã được quan sát

Theo Nghị định 147/2024/ND-CP, bạn cần xác thực tài khoản trước khi sử dụng tính năng này. Chúng tôi sẽ gửi mã xác thực qua SMS hoặc Zalo tới số điện thoại mà bạn nhập dưới đây: