Hỗ trợ tư vấn
Tư vấn - Giải đáp - Hỗ trợ đặt tài liệu
Mua gói Pro để tải file trên Download.vn (không bao gồm tài liệu cao cấp) và trải nghiệm website không quảng cáo
Tìm hiểu thêm »Giải Khoa học tự nhiên 6 Bài 28: Thực hành: Làm sữa chua và quan sát vi khuẩn giúp các em học sinh lớp 6 giúp các em nhanh chóng viết báo cáo thực hành làm sữa chua trong SGK Khoa học tự nhiên 6 sách Kết nối tri thức với cuộc sống trang 96, 97.
Giải KHTN 6 bài Thực hành Làm sữa chua và quan sát vi khuẩn giúp các em quan sát bằng kính hiển vi, rồi vẽ lại hình quan sát được để học thật tốt Bài 28 chương VII: Đa dạng thế giới sống. Qua đó, cũng giúp thầy cô có thêm kinh nghiệm soạn giáo án cho học sinh.
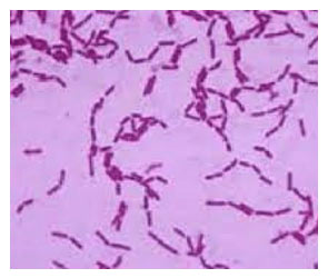
Câu 1. Vẽ vào vở hình ảnh vi khuẩn có trong sữa chua đã quan sát được bằng kính hiển vi ở các độ phóng đại khác nhau (vẽ thêm nếu quan sát được mẫu vi khuẩn khác).
Trả lời:
Hình ảnh vi khuẩn có trong sữa chua đã quan sát được bằng kính hiển vi ở các độ phóng đại khác nhau:

Câu 2. Nhận xét về hình dạng và cách sắp xếp của các vi khuẩn quan sát được.
Trả lời:

Nhận xét về hình dạng và cách sắp xếp của các vi khuẩn quan sát được: Vi khuẩn trong sữa chua hầu hết là thuộc họ Lactobacillaceae thường là vi khuẩn có dạng hình que đứng đơn độc hoặc tụ thành chuỗi với nhau.
Câu 3. Vì sao trong khi làm sữa chua, không dùng nước sôi để pha hộp sữa chua dùng làm giống? Sau thời gian ủ ấm hỗn hợp làm sữa chua, nếu để sản phẩm ở ngoài (không cho vào tủ lạnh) điều gì sẽ xảy ra?
Trả lời:
Trong khi làm sữa chua, không dùng nước sôi để pha hộp sữa chua dùng làm giống vì nước sôi (nhiệt độ cao) có thể làm cho vi khuẩn lactic có trong sữa chua làm giống bị tiêu diệt, không thể len men tạo thành sữa chua được.
- Sau thời gian ủ ấm hỗn hợp làm sữa chua, nếu để sản phẩm ở ngoài (không cho vào tủ lạnh) thì sữa chua sẽ nhanh bị hỏng:
Theo Nghị định 147/2024/ND-CP, bạn cần xác thực tài khoản trước khi sử dụng tính năng này. Chúng tôi sẽ gửi mã xác thực qua SMS hoặc Zalo tới số điện thoại mà bạn nhập dưới đây: